Lobsters, now an iconic symbol of fine dining and luxury, once had a very different reputation. In the 18th century, they were so despised that they were often used as fertilizer or fed to prisoners. The remarkable transformation of the lobster from pauper’s food to a gourmet delicacy is a fascinating tale that reflects societal changes and culinary evolution. This article … [Read more...] about From Trash to Treasure: The Incredible Journey of Lobster from Humble Beginnings to Luxury Dining
The dreaded cross sea – identifying one of nature’s scariest marvels
Nature can be as terrifying as it is beautiful at times, and it goes without saying that it should always be respected by us mere mortals. For the most part, the rise of the internet – and the subsequent explosion of information sharing – has helped us to massively educate one another as a species. Knowledge that our parents’ parents would never have had access to is … [Read more...] about The dreaded cross sea – identifying one of nature’s scariest marvels
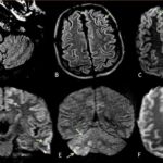
COVID-19 Inflicts Damage on Key Brain ‘Control Center,’ Revealed by Ultra-High-Resolution MRI Scans
A groundbreaking study has revealed a devastating consequence of COVID-19: severe damage to a critical brain control center. Ultra-powerful MRI scans have uncovered that the virus can target the brainstem, a vital region responsible for regulating essential bodily functions. This shocking discovery sheds light on the long-lasting symptoms experienced by many COVID survivors and … [Read more...] about COVID-19 Inflicts Damage on Key Brain ‘Control Center,’ Revealed by Ultra-High-Resolution MRI Scans
Hurricane Milton Doubling In Size, Set To Be One Of The Most Destructive Atlantic Storms
Hurricane Milton, expected to be one of the most destructive Atlantic storms in recent years, is currently traveling across the Gulf of Mexico and is set to make landfall tonight (Wednesday, October 9) on the west coast of Florida around Tampa and Sarasota. As of Wednesday morning, Hurricane Milton has returned to being classed as a Category 5 storm, with maximum sustained … [Read more...] about Hurricane Milton Doubling In Size, Set To Be One Of The Most Destructive Atlantic Storms
Video Captures Nearly 100 Raccoons Swarming Woman’s Yard, Leading to 911 Call in Washington
Kitsap County, WA – A local woman found herself in an unusual predicament last week when nearly 100 raccoons descended upon her property. The unexpected invasion prompted her to call 911 for assistance. The incident took place in a rural area of Kitsap County, just across Puget Sound from Seattle. The woman, whose identity remains undisclosed, reported that the raccoons had … [Read more...] about Video Captures Nearly 100 Raccoons Swarming Woman’s Yard, Leading to 911 Call in Washington





