
A remarkable medical case from France has forced scientists to rethink one of the biggest questions in neuroscience: what does it really take to be conscious?
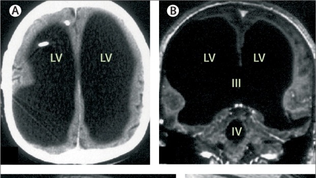
First documented in the medical journal The Lancet in 2007, the case involved a middle-aged man whose brain scans revealed something extraordinary—most of his skull appeared to be filled with fluid, leaving only a thin layer of brain tissue.
A life that seemed completely ordinary
At the time of discovery, the man was 44 years old and living a relatively normal life. He worked as a civil servant, was married, and had two children.
He only sought medical help after experiencing mild weakness in his leg. What doctors found during imaging was unexpected: his brain had been severely compressed over decades.
The condition behind this was hydrocephalus—a disorder in which fluid accumulates in the brain. He had been diagnosed as an infant and treated, but after the removal of a shunt in his teenage years, the fluid gradually built up again.
Over time, this caused the brain to compress inward rather than disappear entirely.

Not missing—compressed
Early interpretations of the case suggested that up to 90% of his brain was “missing.” Later clarification showed that the brain tissue was still present—but squeezed into a thin outer layer.
Despite this extreme compression, the man retained cognitive function. His IQ was measured at 75, lower than average, but he was independent and capable of maintaining a stable life.
A challenge to our understanding of consciousness
For decades, scientists have tried to pinpoint where consciousness “lives” in the brain. Some theories focused on specific regions, suggesting that awareness depends on certain structures.
But this case complicated those assumptions.
Axel Cleeremans, a researcher at the Université Libre de Bruxelles, argued that such cases show consciousness cannot be tied to a single location.
Instead, he proposed the “radical plasticity thesis”—the idea that consciousness is not fixed, but learned and continuously reshaped by the brain through experience.

In simple terms, the brain doesn’t just process information—it learns to understand itself processing that information.
The brain’s hidden strength: adaptability
This case highlights a key concept in modern neuroscience: neuroplasticity—the brain’s ability to adapt, reorganize, and compensate for damage.
Even with severe structural changes, the remaining neural networks were able to sustain awareness and basic functioning.
It suggests that consciousness may emerge not from one specific part of the brain, but from the interaction of whatever neural systems remain.
This extraordinary case dismantles the simplistic idea that more brain automatically means more mind. Instead, it reveals a deeper truth: the human brain is not just a structure, but a dynamic system capable of adapting far beyond what we once believed possible. As science continues to explore these limits, cases like this do more than surprise—they redefine what it means to be conscious, resilient, and fundamentally human.

Leave a Reply